26 Derby Street, Ormskirk, L39 2BW

Take the wheel and accelerate into an extraordinary dental experience in Ormskirk, Lancashire.

You’re in the driver’s seat, ready to ignite a journey where precision dentistry meets refined luxury.

Smile Showroom

Dentist with patient in spa-like room
Relaxed patient seating area
Smile Showroom interior
Detail shot from the showroom wall

Not your usual dentist

Quality treatments in a spa-like setting

Step into Smile Showroom and take in a supercar-inspired space where standout design meets high-quality dental care. Our showroom look sets the scene, while our services do the talking.

Settle into leather sports seats, choose a drink from our in-house coffee bar, and relax before your appointment. Every detail is designed to help you feel calm and comfortable during treatment.

Our experienced team delivers precise, modern dentistry in an environment that feels welcoming and unique. From everyday care to advanced treatments, we focus on results that look and feel right for you.

We’re committed to making every visit feel effortless. Explore our comfort menu and tell us how we can tailor your experience, so your time with us is as relaxing and pleasant as possible.

About us

Unique private practice based in Ormskirk, Lancashire

When you open our doors, you’ll first notice that our interior decor is inspired by luxury car brands, including Porsche, Lamborghini and Ferrari. Buckle up and get ready for a visit to the dentist that has never been more exciting, with our instagrammable supercar themed practice. Getting you back on the road again in no time. To learn more about our unique dental practice, visit our showroom in Ormskirk, Lancashire, where you’ll see exactly how driven our dentists are!

Supercar-inspired interiors Digital smile tech Comfort-led care
Dental implant illustration

We are a dental implant practice

Same-day full-arch and single-tooth implants, 3D-planned and delivered with custom crowns for strong, natural results.

Our approach

Unparalleled dental solutions

At your Smile Performance Check, our expert clinicians take the time to understand your goals and concerns before guiding you through every tailored treatment option. With clear advice and precision planning, you can feel confident in making the right choice for your smile.

  • Cosmetic options including composite bonding and whitening.
  • Clear aligners for a straighter “straight-road” smile.
  • Modern technology, there’s a solution for everybody.
  • Bespoke plans across general, cosmetic and implant dentistry.
  • Emergency appointments, evenings and weekends available.
Smile Showroom
1

Smile performance check & questions

We believe there’s nothing better than a happy patient. At your initial Smile performance check in Ormskirk, we discuss your concerns and explain all available treatments so you can choose what’s right for you. If you have questions before you visit, please get in touch.

2

Cosmetic solutions & clear aligners

We provide Formula One–level cosmetic solutions such as composite bonding and teeth whitening, and clear aligner treatment to help you achieve that straight-road smile you’ve always dreamed of.

3

Technology for everybody

Advancements in technology mean that there is a solution for everybody.

4

Bespoke treatment plans

All plans are completely bespoke. We offer a full range, from general to cosmetic and implant dentistry, exclusively designed around your needs.

5

Emergency care & flexible appointments

When things go wrong, our Emergency Breakdown Appointments get you back on the road quickly. We also offer evening and weekend appointments. Visit our showroom in Ormskirk, Lancashire, to see how driven our dentists are.

Implant dentistry

Dental Implants

Fixed, natural-looking replacements that let you bite, smile and speak with confidence. From single gaps to full-arch solutions, treatment is precision-planned around you.

Eat with confidence

Enjoy a strong, stable bite so favourite foods are back on the menu.

Preserve bone & profile

Implants stimulate bone, helping maintain facial shape over time.

Single to full-arch

Close a single gap, span a bridge, or secure a complete new smile.

Consultation & 3D scan Planning & placement Healing & temporaries Final crown/bridge Aftercare

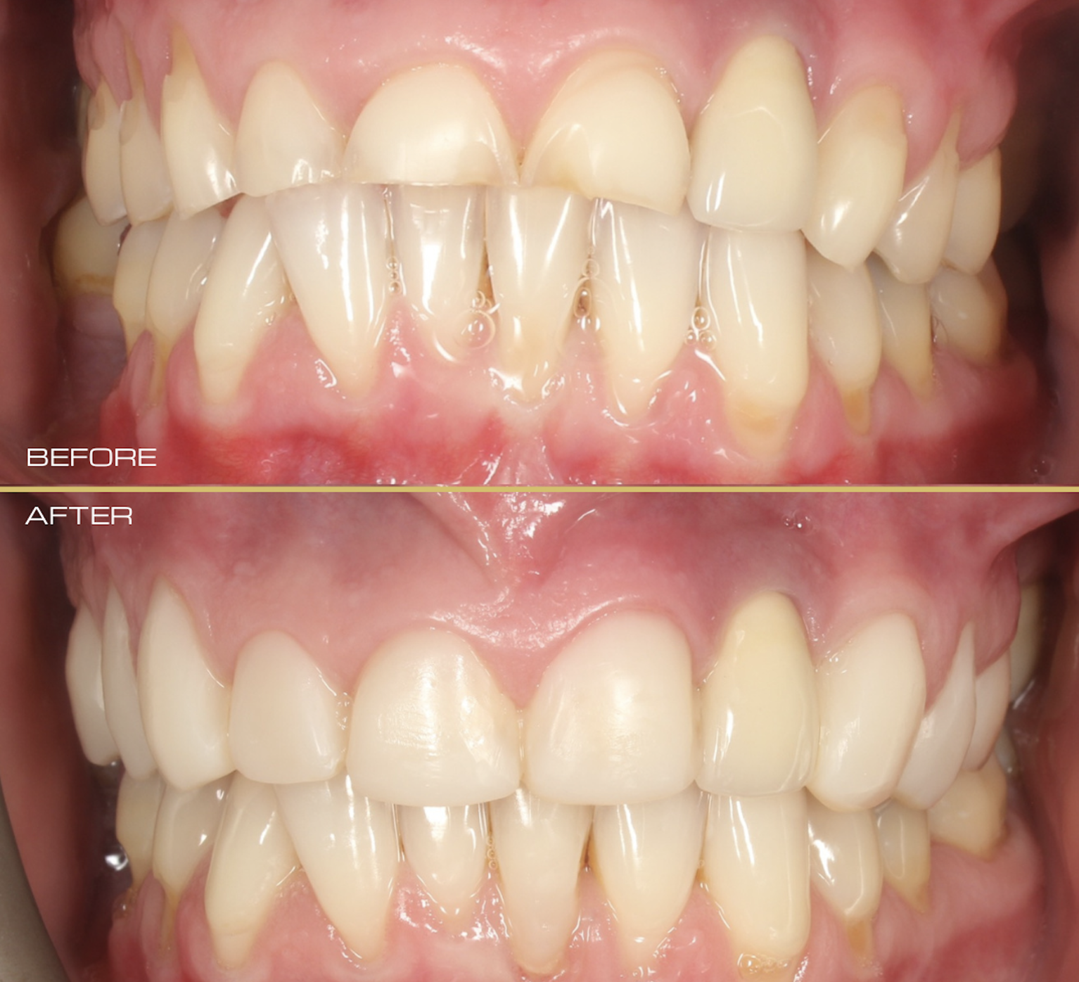
Before & After

Before: full-arch dental implants Before
After: full-arch dental implants After
Full-arch implants

Full-arch dental implants

Full-arch dental implants offer a reliable, natural-looking restoration designed for lasting comfort and confident speech. Each treatment is digitally planned and expertly crafted, creating a smile that blends seamlessly with your facial features.

Same-day teeth Bespoke smile design Comfort-led care
Before: single-tooth dental implant Before
After: single-tooth dental implant After
Single-tooth implant

Single-tooth implant

Restore a missing tooth with a precision-placed implant and custom crown that blends naturally and protects your bite for the long term.

Digital planning Natural aesthetics Stable bite
Dr Jamshaid Mansoor – Implant Dentist

Dr Jamshaid Mansoor

BDS, MFDS RCS (Ed), MJDF RCS (Eng), PG Cert (Implant Dentistry), PG Cert (FAID), PG Dip (AARD)

For precision dentistry at lightning speed, trust in the power of our expert hands.

Implant Surgeon & Educator Lecturer – Manchester Dental School Published in BDJ Speaker – BDA & ADI
Introduction

Dr. Jam graduated from Manchester Dental School in 2012 (John Lowry Oral Surgery Award). With further hospital training and postgraduate certifications, he focuses on oral surgery, dental implantology and aesthetic care.

Education

Qualifications with the English & Scottish Royal Colleges; PG Certs in Implant Dentistry and FAID; PG Dip in Advanced Aesthetic & Restorative Dentistry; certification in Higher Education.

Teaching & outside the clinic

Publishes internationally (including a BDJ clinical guide series), mentors implant dentists across the UK, and speaks at BDA/ADI conferences. Sports enthusiast, official dentist of Burnley FC, passionate about travelling and fast cars.

Clear aligners – background Clear aligners

Orthodontics

Clear Aligners

If you’re thinking about straightening your teeth with clear aligners and want a local, professional provider, look no further than Smile Showroom. Visit our practice in Ormskirk, where we offer in-house digital 3D scans and expert guidance throughout your treatment ensuring your smile handles beautifully from start to finish. Whether you're correcting minor misalignments or looking for a full smile tune-up, we’re here to help you achieve a confident, straighter smile with convenient and personalised care.

Discreet & comfortable 3D digital scans Tailored plans
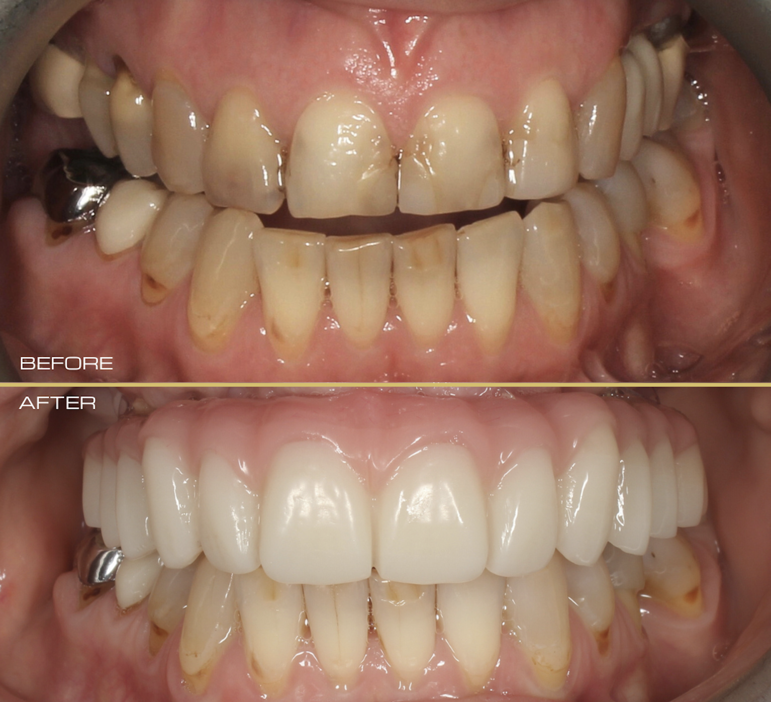
Smile makeover results – Smile Showroom Smile makeover

Cosmetic & Restorative

Smile Makeover

Big glow-up or subtle refinement — our makeovers blend digital planning with advanced techniques to enhance shape, shade and harmony. Preview first, then transform with care that’s precise, comfortable and efficient.

Digital Smile Design
High-resolution photos and 3D scans guide tooth-by-tooth planning, balancing proportions with your facial features.
Trial Smile preview
Test-drive your new smile before treatment. Live with it, tweak it, and approve every detail so there are no surprises.
Avant Garde injection moulding
Sculpted composite veneers using an injection mould for ultra-precise anatomy and a seamless, natural finish, often in a single visit.

Before & After highlights

Scroll to Top